Στηρίξτε μας

Κατήγγειλε στην Αστυνομία τον άνδρα που πυροβόλησε σκύλο στα Φιλιατρά Μεσσηνίας

2 Σεπτεμβρίου 2018 18:31 | Καταγγελίες
Κατήγγειλε στην Αστυνομία τον άνδρα που πυροβόλησε σκύλο στα Φιλιατρά Μεσσηνίας

Της Ελένης Ηλιοπούλου

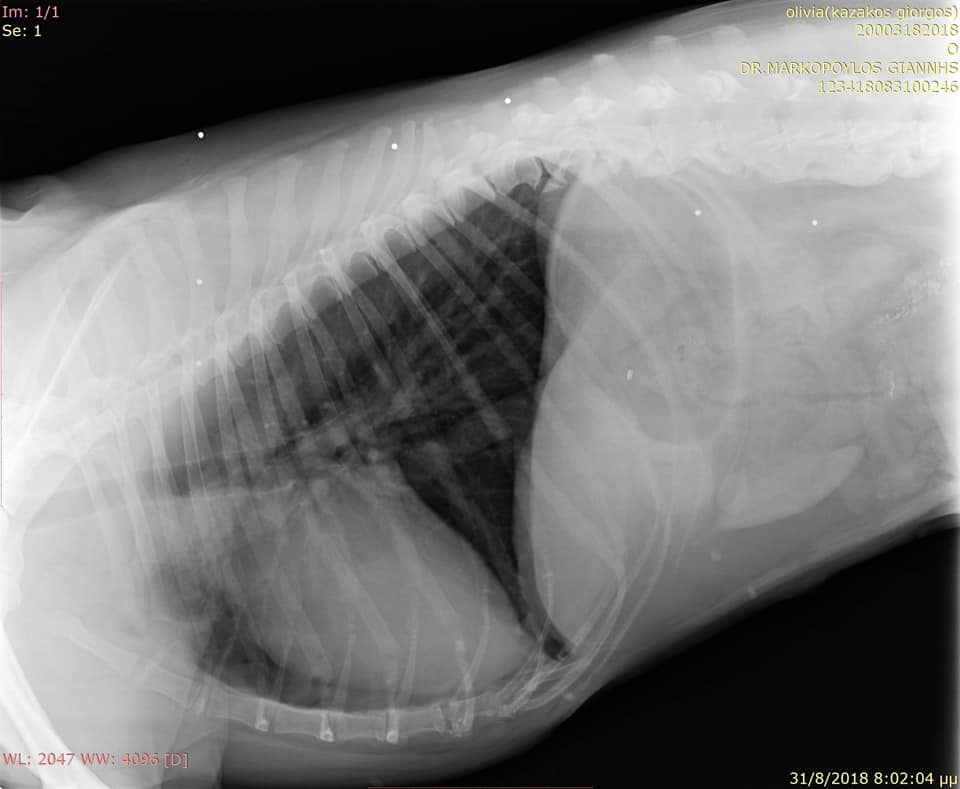
Στο κτηνιατρείο του Γιάννη Μαρκόπουλου στην Κυπαρισσία μεταφέρθηκε στις 31 Αυγούστου ο σκύλος, ο οποίος πυροβολήθηκε με καραμπίνα στα Φιλιατρά Μεσσηνίας από κάτοικο της περιοχής.

FiliatraMessiniasPyrovolimenosSkylosAktinografia 1Η ακτινογραφία έδειξε τα σκάγια στο σώμα του σκύλου.

Το έγκλημα κατήγγειλε στην Αστυνομία και στο Α.Τ. Κυπαρισσίας ο κηδεμόνας του σκύλου και αυτόπτης μάρτυρας, αλλά ο δράστης γλύτωσε τη σύλληψη στο πλαίσιο του αυτοφώρου. Το συμβάν έγινε την περασμένη Παρασκευή λίγο μετά τις 19:00 την ώρα που ο ιδιοκτήτης του ζώου έβγαλε τον σκύλο του βόλτα σε αγροτική περιοχή των Φιλιατρών.

Εκεί ο δράστης είχε αφήσει ελεύθερες χωρίς επιτήρηση τις κότες του με αποτέλεσμα να κυνηγήσουν τα πτηνά τόσο ο ιδιόκτητος σκύλος όσο και κάποια αδέσποτα που ήταν εκεί. Ο δράστης έβγαλε την καραμπίνα και πυροβόλησε τον σκύλο, ενώ έχει απειλήσει με το κυνηγετικό του όπλο και άλλους κατοίκους απαιτώντας κανείς να μην περνάει από την περιοχή στην οποία είναι το κτήμα του.

Σύμφωνα με την Ορσαλία Χατζή, η οποία ενημερώθηκε από τον κηδεμόνα του σκύλου για το έγκλημα και μίλησε στο www.zoosos.gr, ο δράστης είναι γνωστός στα Φιλιατρά για όσα κάνει σε βάρος των ζώων. Μάλιστα τον υποψιάζονται για τη δηλητηρίαση αρκετών αδέσποτων, ενώ όπως τονίζει η φιλόζωη. Κάτοικοι της περιοχής ενώ γνωρίζουν τη δράση του τον καλύπτουν μας εξήγησε.

FiliatraMessiniasPyrovolimenosSkylosAktinografia 2

Διαβάστε επίσης:

Φιλιατρά Μεσσηνίας: Καταδικάστηκε και από το Εφετείο άνδρας που με κυνηγετικό όπλο πυροβόλησε τον σκύλο γείτονα του

Έκκληση για τη σωτηρία σκελετωμένου σκύλου που ζει στην παραλία Στόμιο στα Φιλιατρά Μεσσηνίας

Βρήκαν σκύλο νεκρό, πυροβολημένο, δεμένο από το πόδι λιωμένο στην άσφαλτο στην Καλαμάτα Μεσσηνίας

Πύλος Μεσσηνίας: Βρήκαν 25 άλογα, πόνι, γαϊδούρια σκελετωμένα, ετοιμοθάνατα δεμένα με αλυσίδες, χωρίς τροφή - νερό

Με φόλες θανάτωσαν τα αδέσποτα στον Αριστομένη Μεσσηνίας

Βρήκε τον αδέσποτο σκύλο πυροβολημένο στο κεφάλι στην Τερψιθέα Μεσσηνίας (βίντεο)

Ακόμα δύο σκυλιά νεκρά από φόλες μέσα στην αυλή του σπιτιού τους στους Γαργαλιάνους Μεσσηνίας

Βρωμονέρι Μεσσηνίας: Βρήκε σκελετωμένο σκύλο αλυσοδεμένο χωρίς τροφή σε εγκαταλελειμμένο οίκημα

Μεσσηνία: Βρήκαν σκυλί με θηλιά - περιλαίμιο μέσα στον λαιμό του σε κεντρικό δρόμο της Καλαμάτας (βίντεο)

Μπούκα Μεσσηνίας: Βρήκε τον σκύλο νεκρό στην παραλία δεμένο από τα πόδια σε κορμό δέντρου (βίντεο)

Μεσσηνία: 4 σκυλιά νεκρά από φόλες στον Καρτελά και ένα στους Γαργαλιάνους

Γαργαλιάνοι Μεσσηνίας: Δηλητηρίασαν τα 2 σκυλιά τους πετώντας φόλα μέσα στην αυλή του σπιτιού τους

Γαργαλιάνοι Μεσσηνίας: Λουκάνικο – φόλα μέσα στο δοχείο νερού για τα αδέσποτα

Καλαμάτα: Καταγγελία σε βάρος δημοτικού υπαλλήλου που απείλησε μέσω facebook με θανάτωση τα αδέσποτα

Μεσσηνία: Έδεσε τον σκύλο του και τον εγκατέλειψε στη βροχή στη ΒΗ.ΠΕ. Καλαμάτας

Καλαμάτα: Έριξαν φόλες πέριξ του προσωρινού χώρου φιλοξενίας των αδέσποτων (βίντεο)

Καλαμάτα: Έκλεισαν τα κουτάβια σε σακούλα και τα πέταξαν ζωντανά στον κάδο (βίντεο)

Μήνυση στον δήμαρχο Καλαμάτας γιατί ζητάει να μην ταΐζουν τ' αδέσποτα

Σε απόγνωση οι εθελοντές του Φιλοζωικού Ομίλου Καλαμάτας για όσα γίνονται σε βάρος των ζώων στην Μεσσηνία

Ζητούν γνώστες της φυλής Cane Corso για να κοινωνικοποιήσουν 2 οικόσιτα σκυλιά που επιτέθηκαν σε γυναίκα στην Καλαμάτα

Σπερχογεία Μεσσηνίας: Δεν καταγγέλλουν τον άνδρα που πέταξε σκύλο σε κάδο ο οποίος τώρα βρέθηκε σοβαρά τραυματισμένος

Σπερχογεία Μεσσηνίας: Βρήκαν το κουτάβι νεκρό κρεμασμένο σε μια ελιά

Βρήκε τον σκύλο πυροβολημένο στο κεφάλι κοντά στο χωριό Μάδενα Μεσσηνίας (βίντεο)

Βρήκε 7 κουτάβια ζωντανά πεταμένα σε κάδο σκουπιδιών στη Μάδενα Μεσσηνίας (βίντεο)

Μεσσηνία: Βρήκαν το πτώμα κουνελιού μέσα σε σακούλα σε κάδο σκουπιδιών στην Καλαμάτα

Καταδικάστηκε με αναστολή ο παπάς που σκότωσε με καραμπίνα τον σκύλο του στην Αίπεια Μεσσηνίας

Καλυτερεύει η υγεία του σκύλου που βρέθηκε κρεμασμένος σε γέφυρα στον κάμπο Μεσσηνίας (βίντεο)

Αναρρώνει ο σκύλος που βρέθηκε ζωντανός & κρεμασμένος σε γέφυρα μαζί με μια νεκρή κατσίκα στον κάμπο Μεσσηνίας

Κάμπος Μεσσηνίας: Τουρίστες βρήκαν κρεμασμένα σε γέφυρα μια κατσίκα και έναν σκύλο ζωντανό!

Ασπρόχωμα Μεσσηνίας: Βρήκαν τον άρρωστο σκύλο ετοιμοθάνατο με θηλιά από καλώδιο περασμένη στον λαιμό του

Μεσσηνία: Βρήκε 4 κουτάβια που κάποιος εγκατέλειψε μέσα σε κούτα το ένα ήταν ήδη νεκρό στη Βελίκα (βίντεο)

Βελίκα Μεσσηνίας: Παράτησε τα κουτάβια στην πόρτα των φιλόζωων μέσα στην βροχή φορτώνοντας τους τις ευθύνες του

Μεσσήνη: Εξόντωσαν 40 σκυλιά ως αντίποινα!

Νέα Κορώνη Μεσσηνίας: Κρέμασε τον σκύλο από τη μουσούδα με αγκίστρια σε δέντρο

Μεσσήνη: Εγκατάλειψε τον γάιδαρο επειδή αρρώστησε;

Αριστοδήμειο Μεσσηνίας: Σκύλος τυφλός από τα σκάγια!

Πυροβολημένο το σκυλί που βρέθηκε στο Σπιτάλι Μεσσήνης με διαλυμένο σάπιο πόδι

Βρήκαν το κουτάβι με κομμένα τα αυτιά να υποφέρει σε χωράφι στον Αγρίλη Μεσσηνίας

Τα παιδιά έσωσαν τον σκύλο που χτύπησε αυτοκίνητο στον Αγρίλη Μεσσηνίας

Έκκληση για την φιλοξενία του τυφλού σκύλου που βρέθηκε πυροβολημένος στο κεφάλι στο Γλυκορύζι Κυπαρισσίας

Βρήκε το σκυλί με σπασμένο το πόδι σε δύο σημεία και πυροβολημένο στην Κυπαρισσία

Βρήκε τον σκύλο νεκρό χτυπημένο στο κεφάλι και τυλιγμένο με σακούλα στο Στόμιο Τριφυλίας

Έκκληση για τη φιλοξενία του σκύλου που πυροβολήθηκε στην Κυπαρίσσια και αναρρώνει

Κυπαρισσία: Γεμάτο με σκάγια το κορμί του σκύλου που κούτσαινε

Κυπαρισσία: Σκότωσε το γατάκι λιώνοντας το κεφάλι του με πέτρα

Κυπαρισσία: Συνελήφθη επειδή κοπάναγε μια σκυλίτσα

«Οικολόγοι» - κυνηγοί έπιαναν τσίχλες με αγκίστρια στην Αμφεία Καλαμάτας

Μαχαίρωσε θανάσιμα σκύλο και απείλησε παιδιά σε παραλία των Γαργαλιάνων Μεσσηνίας

Βασάνισε τον σκύλο με συρμάτινη θηλιά κόβοντας τον λαιμό του στους Γαργαλιάνους

Έσωσαν το σκελετωμένο Πόιντερ που βρήκαν σ’ ένα χωράφι στους Γαργαλιάνους

Βρήκε τον σκύλο αλυσοδεμένο σκελετωμένο με εκτεταμένα εγκαύματα στην πλάτη στους Γαργαλιάνους Μεσσηνίας

Μεσσηνία: Συστηματική εξόντωση αδέσποτων & μη σκυλιών με φόλες σε Καλό Νερό, Ράχες, Γαργαλιάνους

Σκύλος νεκρός χτυπημένος στο κεφάλι και με δεμένα τα πόδια με σύρμα στον Καρτελά Μεσσηνίας

Και δεύτερο σκυλί νεκρό με δεμένα τα πόδια με σύρμα στον Καρτελά Μεσσηνίας

Tagged: , , , , , , , ,

Βοηθήστε μας να συνεχίσουμε να σας ενημερώνουμε για όσα συμβαίνουν στα ζώα στην Ελλάδα ενισχύοντας το www.zoosos.gr

0 Σχόλια

Αφήστε μια απάντηση

Η ηλ. διεύθυνση σας δεν δημοσιεύεται. Τα υποχρεωτικά πεδία σημειώνονται με *

This site uses Akismet to reduce spam. Learn how your comment data is processed.

Μοιραστείτε

και βοηθήστε κι εσείς!

error: Απαγορεύεται η αντιγραφή περιεχομένου.