Στηρίξτε μας

Άκτιο Πρέβεζας: Κουτάβι με σπασμένα 2 πόδια και ρήξη στην κοιλιά από κλωτσιά! (Βίντεο)

8 Δεκεμβρίου 2015 13:23 | Καταγγελίες
Άκτιο Πρέβεζας: Κουτάβι με σπασμένα 2 πόδια και ρήξη στην κοιλιά από κλωτσιά! (Βίντεο)

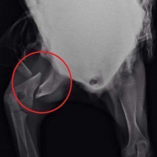
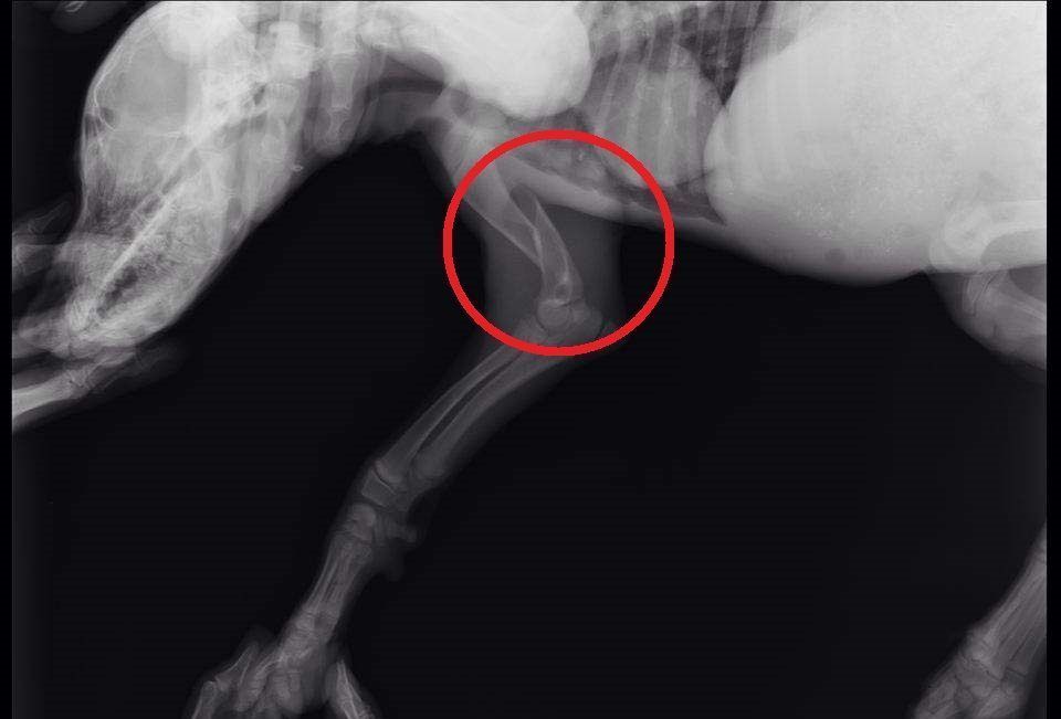
Το κουταβάκι που βλέπετε στις φωτογραφίες εντοπίστηκε χθες στο Άκτιο να κλαίει από τους πόνους κοντά στα διόδια της υποθαλάσσιας σήραγγας καθώς όπως αποδείχτηκε έχει σπασμένα τα δύο πόδια του ενώ είναι χτυπημένο και στην κοιλιά. Το πως τραυματίστηκε το ζώο παραμένει άγνωστο αν και σύμφωνα με τον κτηνίατρο Νίκο Ρώσσο, που το εξέτασε, κάποιος είναι πολύ πιθανό να το το κλώτσησε.

Η Δώρα Τσάτση μέλος του σωματείου «Παρέμβαση για τα Ζώα - Πρέβεζα» εξήγησε στο www.zoosos.gr ότι ο κ. Ρώσσος τους είπε πως είναι απίθανο το κουταβάκι, που ζυγίζει μόλις τέσσερα κιλά, να χτυπήθηκε από όχημα καθώς δεν έχει σημάδια και αυτά τα τραύματα προκαλούνται μόνο από κλωτσιά.

 

Η μια από τις επεμβάσεις που θα γίνουν στο σκυλάκι θα πραγματοποιηθεί αύριο και το συνολικό κόστος για να μπουν στη θέση τους τα οστά του και για να αντιμετωπιστεί το εσωτερικό τραύμα στην κοιλιακή χώρα θα κοστίσει 800 ευρώ.

Αν μπορείτε να βοηθήσετε για να καλυφθούν τα έξοδα των χειρουργείων επικοινωνήστε ή με τον κτηνίατρο Νίκο Ρώσσο στο τηλέφωνο: 2682021100 ή καταθέστε όποιο ποσό θέλετε στον λογαριασμό του σωματείου «Παρέμβαση για τα Ζώα - Πρέβεζα»:
Αριθμός λογαριασμού: ΤΡΑΠΕΖΑ ΠΕΙΡΑΙΩΣ 6305-010232012
IBAN GR 1001 7130 500063 0501 0232012

ή μέσω paypal: [email protected]

Εξαιτίας του νεαρού της ηλικίας του κουταβιού δεν θα γίνουν όλες οι επεμβάσεις ταυτόχρονα. Αρχικά θα χειρουργηθεί στην κοιλιά και στην συνέχεια θα ακολουθήσουν οι επεμβάσεις στο πίσω πόδι του που έχει σπάσει σε δύο σημεία και στη συνέχεια στο μπροστινό.

Το κλάμα του ζώου που υποφέρει από τους πόνους δυστυχώς αφήνει ασυγκίνητους πάρα πολλούς συνανθρώπους μας οι οποίοι βασανίζουν και εξοντώνουν αυτά τα πλάσματα πανού στην χώρα μας.

Διαβάστε επίσης:

Πρέβεζα: Επικήρυξαν τον εκτελεστή της σκυλίτσας στην Σμυρτούλα

Η υπόθεση του δολοφόνου της γάτας στο Μιχαλίτσι Πρέβεζας μπήκε στο αρχείο

Στο Εφετείο Ιωαννίνων δικάζεται ο άνδρας που σκότωσε γάτα το 2013 στο Μιχαλίτσι Πρέβεζας

Ψαθάκι Πρέβεζας: Ο σκύλος περιφερόταν με συρμάτινη θηλιά στο σώμα του

Πρέβεζα: Σκύλος αλυσοδεμένος χωρίς τροφή, νερό και η Αστυνομία δεν βλέπει κακοποίηση! (Βίντεο)

Βρήκαν τον σκύλο σκελετωμένο, με όγκο και τυφλό από το ένα μάτι στον Μύτικα της Πρέβεζας

Επικήρυξαν τον δολοφόνο των γατιών και των σκυλιών που δηλητηριάστηκαν με φόλες στον Παντοκράτορα Πρέβεζας

Βρήκαν την γάτα τους σκοτωμένη με πυροβόλο όπλο και πεταμένη στα σκουπίδια στο Κανάλι της Πρέβεζας

Βρήκε τον σκύλο σκελετωμένο να περιφέρεται στην Πρέβεζα

Πρέβεζα: Βρήκαν 6 κουτάβια κλεισμένα σε σακούλα στα σκουπίδια

Εκρηκτική η κατάσταση με την κακοποίηση των ζώων σε Πάργα και Πρέβεζα

Αδιάφορος και ανεύθυνος για όσα συμβαίνουν εις βάρος των αδέσποτων ο Δήμος Πρέβεζας

Πρέβεζα: Βρήκαν τα κουτάβια να αργοπεθαίνουν στην παραλία μέσα στο τσουβάλι

Πρέβεζα: Κατήγγειλε την κακοποίηση του ζώου και η Αστυνομία αδιαφόρησε

Πρέβεζα: Πυροβόλησε και σκότωσε 2 σκυλιά

Αυξάνονται οι νεκρές καρέτα – καρέτα στην Πρέβεζα

Μάθημα φιλοζωίας και ηθικής από τον εισαγγελέα Πρωτοδικών Πρέβεζας

Δήμος Πρέβεζας: Ουσιαστική μέριμνα για τ’ αδέσποτα

Πρέβεζα: Ορφανό το αλεπουδάκι σε τροχαίο νεκρή η μαμά του

Πρέβεζα: Κρέμασαν τον σκύλο μέσα στο Ι.Χ.

Πρέβεζα: Νεκρό αλεπουδάκι δεμένο με σύρμα

Πρέβεζα: Δηλητηριάζουν με φόλες αδέσποτα και μη ζώα

Πρέβεζα: 1 ευρώ κάθε τρίμηνο για τ’ αδέσποτα απ' τους λογαριασμούς του νερού!

Πυροβόλησε και ακρωτηρίασε τα πόδια του Φλαμίνγκο στον Αμβρακικό

Πρέβεζα: Σκόπιμα σφυροκοπούν στο κεφάλι τις θαλάσσιες χελώνες

Σκύλος περιφερόταν με κομμένο λαιμό στην Στεφάνη Πρέβεζας

Tagged: , , , , , , , , , ,

Βοηθήστε μας να συνεχίσουμε να σας ενημερώνουμε για όσα συμβαίνουν στα ζώα στην Ελλάδα ενισχύοντας το www.zoosos.gr

1 Σχόλιο

  1. αννα

    ΠΟΙΟΙ @@ ΤΑ ΚΑΝΕΤΕ ΑΥΤΑ Γ@@@ ΤΑ ΣΠΙΤΙΑ ΣΑΣ ΚΑΙ ΑΥΤΟΥΣ ΤΟΥΣ ΓΟΝΙΟΥΣ ΠΟΥ ΣΑΣ ΠΕΤΑΓΑΝΕ ΚΑΙ ΣΑΣ ΒΓΑΛΑΝΕ ΣΤΗΝ ΚΟΙΝΩΝΙΑ ΣΚΑΤΑΔΕΣ, ΜΑΣ ΑΡΡΩΣΤΗΣΑΤΕ, ΑΠΟΒΡΑΣΜΑΤΑ!!

Αφήστε μια απάντηση

Η ηλ. διεύθυνση σας δεν δημοσιεύεται. Τα υποχρεωτικά πεδία σημειώνονται με *

This site uses Akismet to reduce spam. Learn how your comment data is processed.

Μοιραστείτε

και βοηθήστε κι εσείς!

error: Απαγορεύεται η αντιγραφή περιεχομένου.