Στηρίξτε μας

Υιοθέτησαν την σκυλίτσα που πυροβολήθηκε δύο φορές με αεροβόλο στο Μουλκί Κορινθίας

7 Αυγούστου 2015 12:05 | Τα καλά νέα
Υιοθέτησαν την σκυλίτσα που πυροβολήθηκε δύο φορές με αεροβόλο στο Μουλκί Κορινθίας

Στο νέο της σπιτικό με τη νέα της οικογένεια «μετακόμισε» στις 24 Ιουλίου η σκυλίτσα που εντοπίστηκε πυροβολημένη στο Μουλκί Κορινθίας πριν από έναν μήνα. Η Χριστίνα Ντακοβάνου που την μάζεψε, την περιέθαλψε και την στείρωση έκανε έκκληση για την υιοθεσία της και μέσω του www.zoosos.gr και τελικά βρήκε ανταπόκριση από ένα ζευγάρι φιλόζωων που μένει στη Σαλαμίνα.

MoulkiSalaminaSkylitsaPyrovolimeni (2)Στη Σαλαμίνα με την νέα της οικογένεια.

Παρά το γεγονός ότι καθημερινά δημοσιεύουμε περιστατικά με ζώα που έχουν κακοποιηθεί από αδίστακτους ανθρώπους συνεχίζουμε να πιστεύουμε ακράδαντα ότι παντού υπάρχουν εκείνοι οι οποίοι νοιάζονται και πως αυτός ο τόπος μπορεί να αλλάξει προς το καλύτερο.

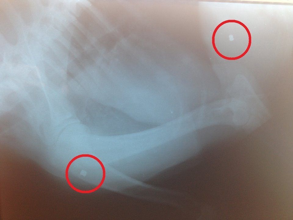
IrmaMoulkiKorinthias%20%282%29Η ακτινογραφία δείχνει τα δύο σφαιρίδια του αεροβόλου που εντοπίστηκαν στο σώμα της Ίρμας.

Διαβάστε επίσης:

Έκκληση για την υιοθεσία της σκυλίτσας που χτυπήθηκε και πυροβολήθηκε στο Μουλκί Κορινθίας

Πάτρα: Πυροβολεί συστηματικά τις γάτες με αεροβόλο

Καισαριανή: Πυροβόλησε τις γάτες με αεροβόλο ενώ η πλατεία ήταν γεμάτη παιδιά

Τον είδαν να πυροβολεί γάτες στο προαύλιο των Φυλακών Κορυδαλλού

Μυτιλήνη: Τον καταδίκασαν για το σκυλί που χτύπησε με αεροβόλο

Κατήγγειλε τον άνδρα που πυροβόλησε και άφησε παράλυτο το κουτάβι στην Κορυφή Ημαθίας (βίντεο)

Καβάλα: Γάτα έμεινε παράλυτη επειδή κάποιος το πυροβόλησε με αεροβόλο

Δολοφόνησε σκύλο με αεροβόλο στους Προμάχους Πέλλας

Καταδικάστηκε ο άνδρας που χτυπούσε με αεροβόλο γάτες στον Χολαργό

Λαύριο: Πυροβόλησε τον σκύλο με αεροβόλο επειδή δεν τον άφησε να κοιμηθεί!

Μεσολόγγι: Εκτέλεσε τον σκύλο πυροβολώντας τον 3 φορές με αεροβόλο

Ορεστιάδα: Δολοφόνησε με αεροβόλο την σκυλίτσα που μόλις είχε στειρωθεί και επανενταχθεί

Σύρος: Άλλο ένα γατί πυροβολημένο με αεροβόλο στο πρόσωπο

Σύρος: Χτύπησε τη γάτα με αεροβόλο

Πυροβολεί συστηματικά με αεροβόλο γάτες στον Άγιο Παντελεήμονα Σύρου

Tagged: , , , , , , , , ,

Βοηθήστε μας να συνεχίσουμε να σας ενημερώνουμε για όσα συμβαίνουν στα ζώα στην Ελλάδα ενισχύοντας το www.zoosos.gr

1 Σχόλιο

  1. ΕΛΕΥΘΕΡΙΑ ΒΙΔΑΛΗ

    ΟΛΟΙ ΟΙ ΚΑΡΙΟΛΑΡΑΔΕΣ ΑΥΤΟΥ ΤΟΥ ΚΟΣΜΟΥ ΠΟΥ ΒΑΣΑΝΙΖΟΥΝ ΦΡΙΚΤΑ Η ΔΟΛΟΦΟΝΟΥΝ ΑΓΡΙΑ ΕΙΤΕ ΖΩΑ ΕΙΤΕ ΑΝΘΡΩΠΟΥΣ, ΠΡΕΠΕΙ ΝΑ ΤΟΥΣ ΠΕΤΣΟΚΟΒΟΥΝ ΑΡΓΑ - ΑΡΓΑ ΚΑΙ ΒΑΣΑΝΙΣΤΙΚΑ, ΝΑ ΤΟΥΣ ΒΑΖΟΥΝ ΑΛΑΤΙ ΣΤΙΣ ΠΛΗΓΕΣ, ΜΕΧΡΙ ΝΑ ΞΕΨΥΧΗΣΟΥΝ ΜΕΣΑ ΣΤΑ ΟΥΡΛΙΑΧΤΑ ΑΠΟ ΤΟΥΣ ΠΟΝΟΥΣ ΚΑΙ ΝΑ ΠΑΡΑΔΩΣΟΥΝ ΤΗΝ ΑΝΩΜΑΛΗ ΨΥΧΗ ΤΟΥΣ ΣΤΟ ΔΙΑΒΟΛΟ : ΕΚΕΙ ΠΟΥ ΑΝΟΙΚΕΙ!

Αφήστε μια απάντηση

Η ηλ. διεύθυνση σας δεν δημοσιεύεται. Τα υποχρεωτικά πεδία σημειώνονται με *

This site uses Akismet to reduce spam. Learn how your comment data is processed.

Μοιραστείτε

και βοηθήστε κι εσείς!

error: Απαγορεύεται η αντιγραφή περιεχομένου.