Της Ελένης Ηλιοπούλου
Την Παρασκευή 7 Ιανουαρίου ομολόγησε τελικά ο Κ.Γ. κάτοικος Άνω Ποταμιάς ότι πυροβόλησε και σκότωσε τον έναν σκύλο του γείτονα του και τραυμάτισε το δεύτερο ζώο στη Νάξο.
Στον δολοφόνο βεβαιώθηκε από την Αστυνομία το διοικητικό πρόστιμο των 60.000 ευρώ
«Δυστυχώς μέχρι τώρα ο δράστης δεν έχει αποκαλύψει που έχει πετάξει το πτώμα του νεκρού σκύλου, που ακόμα ψάχνουμε. Στους αστυνομικούς, όπως ενημερώθηκα, δήλωσε πως αφού πυροβόλησε τα σκυλιά μου, γύρισε την πλάτη του και τα άφησε να σπαρταράνε και δεν ξέρει τι απέγινε ο δεύτερος Γερμανικός Ποιμενικός που δεν έχω ακόμα βρει» εξήγησε στο www.zoosos.gr o εκπαιδευτής σκύλων Αντώνης Κουφόπουλος.
Τα σκυλιά πυροβολήθηκαν την 1η Φεβρουαρίου και τα ίχνη του αίματος εντοπίστηκαν στην είσοδο του μαντριού...
Ο δράστης τώρα είναι αντιμέτωπος με το κακούργημα της θανάτωσης και της κακοποίησης ζώων και θυμίζουμε ότι η καραμπίνα την οποία είχε παράνομα εντοπίστηκε μετά από έρευνα της Αστυνομίας σε αποθήκη στο σπίτι του στην Άνω Ποταμιά. Σε βάρος του κτηνοτρόφου σύμφωνα με τη δικηγόρο του κ. Κουφόπουλου, Έλενα Φλώρου, έχει βεβαιωθεί το διοικητικό πρόστιμο των 60.000 ευρώ για το εξαφανισμένο - νεκρό σκυλί και για το σοβαρά τραυματισμένο.
Έκρυβε το κυνηγετικό όπλο που είχε από το 1980
Αρχικά μάλιστα ο 65χρονος δήλωσε ότι δεν έχει κανένα όπλο στην κατοχή του, εντούτοις το ψεύδος του αποκάλυψε άλλος Ναξιώτης ο οποίος ενημέρωσε τις αρχές για το που συνήθως έχει την καραμπίνα ο συγκεκριμένος βοσκός σε ένα από τα τρία κτίρια της στάνης, όπου ο γιος του έχει 30 πρόβατα. Το κυνηγετικό όπλο δεν εντοπίστηκε τελικά στο μαντρί αλλά βρέθηκε κρυμμένο στην αποθήκη μέσα σε ένα τσουβάλι με ζωοτροφές.
Ο Αντώνης Κουφόπουλος μας εξήγησε ότι ο κτηνοτρόφος ομολόγησε ακολουθώντας τις συμβουλές του δικηγόρου του - και ενώ επί επτά ημέρες έλεγε ψέματα στους αστυνομικούς - καθώς η υπερασπιστική γραμμή του είναι ότι τα σκυλιά του επιτέθηκαν και ο κατηγορούμενος βρισκόταν σε νόμιμη άμυνα.
«Τα σκυλιά μας εκπαιδεύονται για να γίνουν ιχνηλάτες, να εντοπίζουν από φόλες έως ναρκωτικές ουσίες, σε τέτοια εκπαίδευση δεν μετέχουν επιθετικά σκυλιά και αυτό μπορεί να το καταθέσει και έτερος εκπαιδευτής, καθώς είναι ζώα που εκτελούν συγκεκριμένη εργασία. Ο δράστης δεν έχει κανένα αποδεικτικό στοιχείο προσπαθεί να δικαιολογηθεί και γι’ αυτό θέλησε να
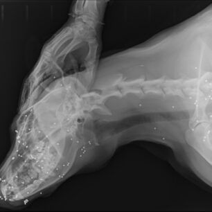
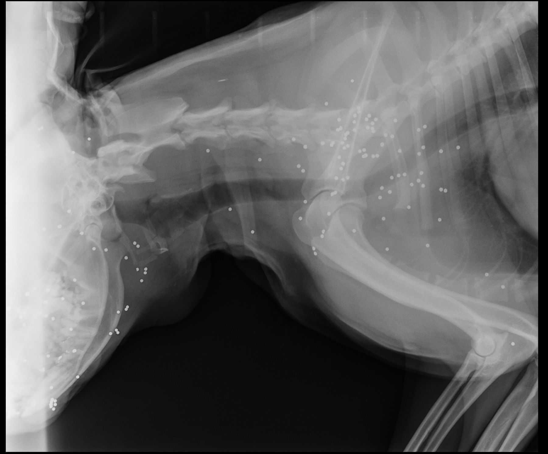
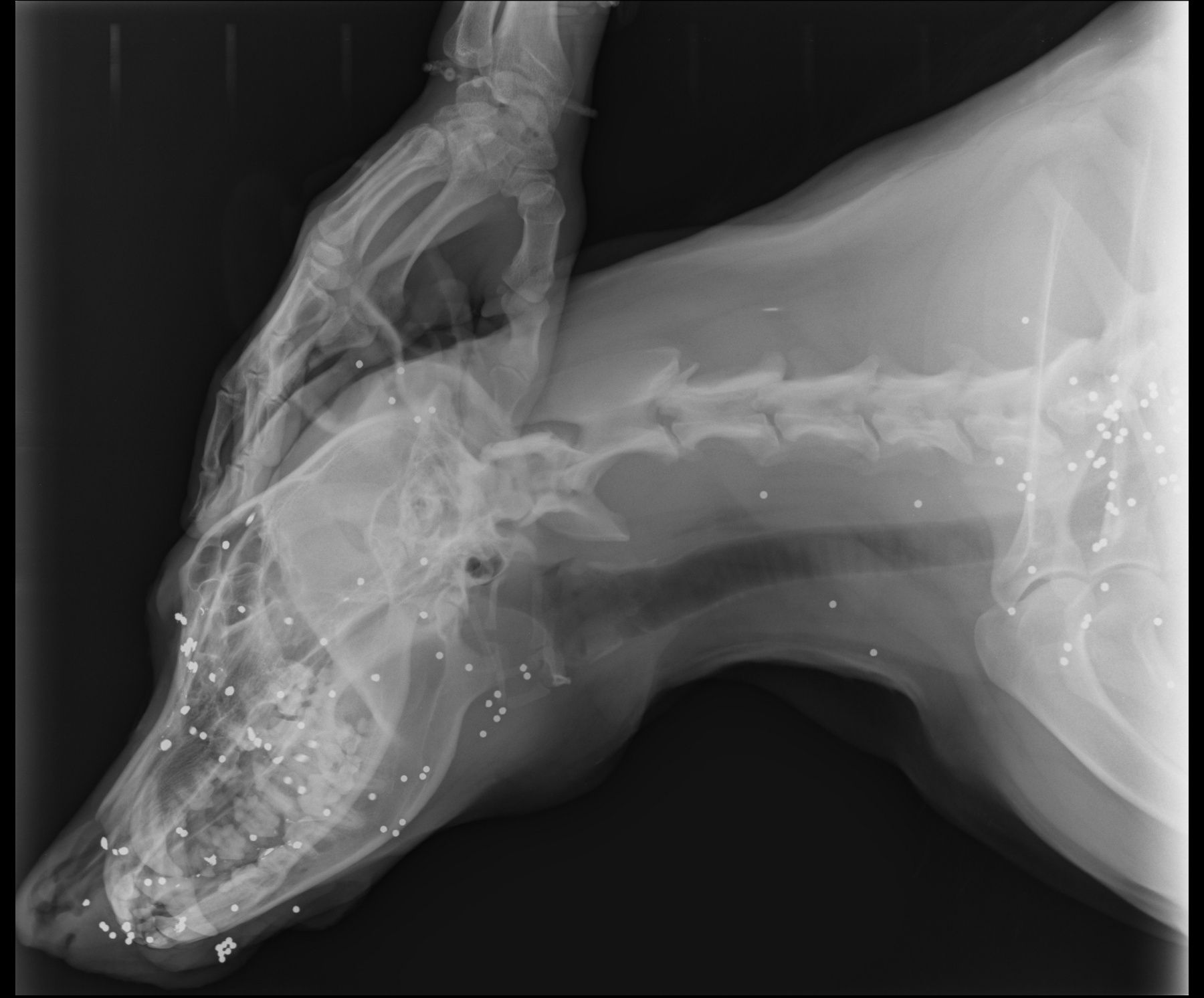
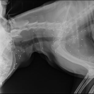
O τραυματισμένος σκύλος που μεταφέρθηκε για νοσηλεία στο κτηνιατρείο του Στάθη Πιτταρά έχει στο κεφάλι, στον τράχηλο και στο αριστερό του πόδι περισσότερα από 160 σκάγια.
Ο κατηγορούμενος που αρχικά είχε καταθέσει ψευδώς ότι δεν έχει κυνηγετικό ή άλλο όπλο, για να δικαιολογηθεί ισχυρίστηκε πως το είχε αγοράσει πριν το 1980 γι’ αυτό και δεν είχε υποχρέωση να το δηλώσει. Κάτι φυσικά που δεν ισχύει. Έτσι στις 3 Φεβρουαρίου συνελήφθη αρχικά για παράνομη οπλοκατοχή και στη συνέχεια αφέθηκε ελεύθερος.
Διαβάστε επίσης:
Νάξος: Πυροβόλησε 3 σκυλιά με κυνηγετικό όπλο στην Άνω Ποταμιά
Βοηθήστε μας να συνεχίσουμε να σας ενημερώνουμε για όσα συμβαίνουν στα ζώα στην Ελλάδα ενισχύοντας το www.zoosos.gr
























































