Στηρίξτε μας

Χειρουργήθηκε με επιτυχία στο ένα πόδι ο σκύλος που έριξε από μπαλκόνι 3ου ορόφου ιδιοκτήτης διαμερίσματος

4 Αυγούστου 2016 18:15 | Επικαιρότητα
Χειρουργήθηκε με επιτυχία στο ένα πόδι ο σκύλος που έριξε από μπαλκόνι 3ου ορόφου ιδιοκτήτης διαμερίσματος

Της Ελένης Ηλιοπούλου

Τέσσερις ώρες και εικοσιπέντε λεπτά είχε διάρκεια το χειρουργείο της Λεϊλά του θηλυκού σκύλου, που την Παρασκευή 29 Ιουλίου ο Χρήστος Ζαρίφης πέταξε από το μπαλκόνι διαμερίσματος τρίτου ορόφου στην οδό Ιεροσολύμων 19-21 στην πλατεία Αμερικής. Σύμφωνα με την Ελένη – Μαρία Μακρή, που είναι μεταξύ των αυτοπτών μαρτύρων, και κατήγγειλε τον δράστη στο Αστυνομικό Τμήμα Αγίου Παντελεήμονα, τις επόμενες μέρες αναμένεται να πραγματοποιηθεί και το δεύτερο χειρουργείο.

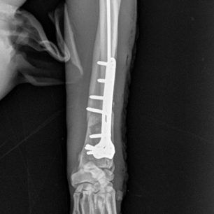
LeilaIerosolymon (10)Το ζώο σήμερα χειρουργήθηκε μόνο στο ένα πόδι.

Αν και για να καλυφθούν τα έξοδα έγινε των επεμβάσεων έγινε δημόσια έρανος κυρίως μέσω διαδικτύου, η κα Μακρή είπε στο www.zoosos.gr ότι ο κτηνίατρος, που έκανε την πρώτη επέμβαση και θα κάνει και το δεύτερο ορθοπεδικό χειρουργείο, θέλει να διατηρήσει την ανωνυμία του.

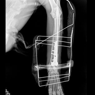
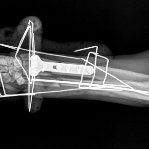
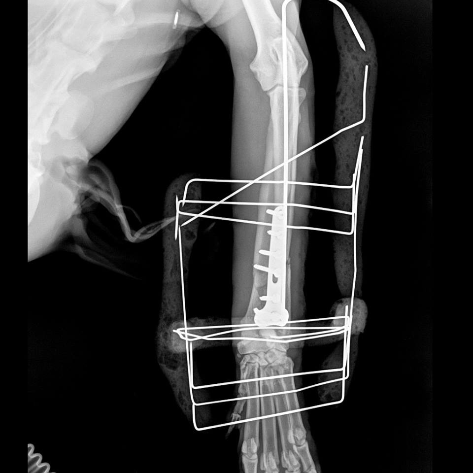
LeilaGnomatefsiKtiniatroΗ γνωμάτευση του κτηνίατρου που έκανε το ορθοπεδικό χειρουργείο.

Η κα Μακρή δημοσίευσε σήμερα στο facebook την γνωμάτευση του κτηνιάτρου σχετικά με την εξέλιξη της υγείας του ζώου. Σε αυτή αναφέρεται ότι: «Ο σκύλος έφερε συντριπτικά ενδοαρθρικά κατάγματα με μετατόπιση στο κάτω τρίτο του αριστερού αντιβραχίου και στο κάτω τρίτο του αριστερού μηριαίου. Ολοκληρώθηκε με επιτυχία η πρώτη χειρουργική επέμβαση που αφορούσε την ανάταξη και οστεοσύνθεση του αριστερού αντιβραχίου. Λόγω της σοβαρότητας του κατάγματος η διάρκεια της χειρουργικής επέμβασης ήταν 4 ώρες και 25 λεπτά και ο σκύλος ανένηψε φυσιολογικά».

LeilaIerosolymon (12)Αύριο θα γίνει και η διαμαρτυρία έξω από το σπίτι του δράστη στη Νέα Φιλαδέλφεια Αττικής.

Η κα Μακρή για την περιπέτεια της Λεϊλά που κινητοποίησε πλήθος κόσμου χθες επισήμανε τα εξής: «Αισθάνομαι την ανάγκη να πω το εξής: η σκυλίτσα που ρίχτηκε από το μπαλκόνι έχει ευαισθητοποιήσει πλήθος κόσμου. Όλοι ρωτάνε γι'αυτήν, όλοι προσφέρουν κάτι από το υστέρημά τους για τα έξοδα της, όλοι θέλουν να της δώσουν ένα χάδι. Αυτό είναι το λιγότερο, συγκινητικό.

Επίσης και πριν ακόμη χειρουργηθεί στο διπλό σοβαρότατο χειρουργείο που θα της γίνει, υπάρχουν πάμπολλες προτάσεις υιοθεσίας, μέχρι και ανακοινώσεις υιοθεσίας, χωρίς καν να έχει προηγηθεί μια κουβέντα με το γιατρό κ τους ανθρώπους που τη φροντίζουν από την πρώτη στιγμή του ατυχήματος.

Αυτό, τη στιγμή που εκατοντάδες άλλα εξ ίσου άτυχα σκυλάκια σαπίζουν στα κλουβιά των φιλοζωικών Λούης, η Δάφνη, ο Τσόκο, ο Ρούλης, ο Μπιφτέκης, ο Μαξ, η Μπιζού χρόνια στα αζήτητα... Βλέπεις αυτά δεν είχαν την τύχη να τραβήξουν τα φώτα της δημοσιότητας πάνω τους...

Νιώθω μια τεράστια ευγνωμοσύνη που νοιαστήκατε τη Λεϊλά και την κάνατε με την αγάπη σας το "σκυλί όλων μας"!...όμως, επειδή έχω αρχίσει να φρικάρω με διάφορα δημοσιεύματα που μας θέλουν "θηρία", "υποχθόνιους", "άρπαγες" κοκ και με την κακή προαίρεση ανθρώπων που θα έπρεπε να είναι συναγωνιστές μας κι όχι πολέμιοι, επισημαίνω για όσους συνεισέφεραν: οι αποδείξεις από το κάθε σεντ που ξοδεύτηκε και ξοδεύεται είναι στην απόλυτη διάθεσή τους και έχουν το έννομο δικαίωμα να ενημερωθούν από μας μόλις ολοκληρωθεί η διαδικασία.(ακόμη και κατά τη διάρκεια).Το ποσόν που μαζεύτηκε προϋπολογίσαμε ότι είναι ικανό να καλύψει το μεγαλύτερο μέρος της νοσηλείας, οπότε μη βάζετε άλλα. Η Λεϊλά αύριο θα μπει στο χειρουργείο. Παρακαλώ να εξακολουθήσετε τις καταθέσεις όχι όμως χρημάτων, αγάπης. ΧΡΕΙΑΖΕΤΑΙ ΑΠΕΙΡΗ ΘΕΤΙΚΗ ΣΚΕΨΗ!» καταλήγει η κα Μακρή.

Θυμίζουμε ότι για την Λεϊλά έχει βρεθεί ήδη υιοθεσία και αύριο το απόγευμα στις 19:00 στο Πάρκο Μνημείο Αλησμόνητων Πατρίδων (οδός Πίνδου και Λ. Δεκελείας) στη Νέα Φιλαδέλφεια Αττικής έχει προγραμματιστεί συγκέντρωση διαμαρτυρίας, ενώ στη συνέχεια θα γίνει και πορεία έξω από το σπίτι του δράστη. Για την υπόθεση αναμένεται να οριστεί δικάσιμος τα επόμενα δύο χρόνια. Τα αναλυτικά ρεπορτάζ μας γι' αυτό το έγκλημα που τάραξε το Πανελλήνιο μπορείτε να τα διαβάσετε εδώ:

Τα πρώτα βήματα μετά το χειρουργείο κάνει η Λεϊλά, που ιδιοκτήτης διαμερίσματος πέταξε από το μπαλκόνι τρίτου ορόφου στην Αθήνα

Συγκέντρωση διαμαρτυρίας στη Ν. Φιλαδέλφεια όπου διαμένει ο δράστης που πέταξε σκύλο από μπαλκόνι θα πραγματοποιηθεί την Παρασκευή

Κατέθεσαν 2 μάρτυρες που είδαν τον άνδρα να πετάει τον σκύλο από το μπαλκόνι του 3ου ορόφου με την σκάλα στην οδό Ιεροσολύμων

Έσπρωχνε τον σκύλο για να τον βγάλει εκτός σπιτιού δεν ήθελε να τον πετάξει στο έδαφος ισχυρίζεται ο ιδιοκτήτης του διαμερίσματος (βίντεο)

Άγνωστο υπό ποιες συνθήκες σκύλος έπεσε ή κάποιος τον έριξε από μπαλκόνι διαμερίσματος στην πλ. Αμερικής (βίντεο)

Διαβάστε επίσης:

Έπνιξε την γάτα και την κρέμασε έξω από τα κάγκελα Νηπιαγωγείου στα Κάτω Πατήσια

Βρήκε τον σοβαρά τραυματισμένο σκύλο τυλιγμένο με σεντόνι να αργοπεθαίνει πεταμένος σε κάδο στην Κυψέλη

Βρήκε την γάτα που φρόντιζε απαγχονισμένη πάνω στα κάγκελα μπαλκονιού στα Άνω Πατήσια της Αθήνας

Κυψέλη: Εγκατέλειψε το σκυλί μέσα στο διαμέρισμα που άφησε μετά την έξωση

Απαγχόνισε την γάτα και την κρέμασε σε δέντρο στο κέντρο της Αθήνας

Καταγγέλλουν την εξαφάνιση των γατιών από τον περίβολο της Αμερικανικής Πρεσβείας στην Αθήνα

Κατάσχεσαν τα 3 σκυλιά που κακοποιούσε η ιδιοκτήτρια τους στο κέντρο της Αθήνας (βίντεο)

Έκκληση για την σωτηρία των άρρωστων κουνελιών που ζουν σε απαράδεκτες συνθήκες σε οικόπεδο στα Πατήσια της Αθήνας

Πατήσια: Κρατούσε αιχμάλωτα μέσα στο συνεργείο δεκάδες άγρια πουλιά

Εντόπισαν γεράκι σε κλουβί καταστήματος πώλησης ζώων στα Κάτω Πατήσια

Γκύζη: Πέταξαν στον κάδο το Χάμστερ

Γκύζη: Του πέταξε τον γάτο από τον πέμπτο όροφο!

Δηλητηρίασαν αδέσποτες γάτες στου Γκύζη

Tagged: , , , , , , , , , , , , , , , , ,

Βοηθήστε μας να συνεχίσουμε να σας ενημερώνουμε για όσα συμβαίνουν στα ζώα στην Ελλάδα ενισχύοντας το www.zoosos.gr

0 Σχόλια

Αφήστε μια απάντηση

Η ηλ. διεύθυνση σας δεν δημοσιεύεται. Τα υποχρεωτικά πεδία σημειώνονται με *

This site uses Akismet to reduce spam. Learn how your comment data is processed.

Μοιραστείτε

και βοηθήστε κι εσείς!

error: Απαγορεύεται η αντιγραφή περιεχομένου.