Στηρίξτε μας

Βρήκε τον σκύλο της πυροβολημένο στο κεφάλι στο Δρέπανο Αργολίδας

12 Οκτωβρίου 2018 02:15 | Καταγγελίες
Βρήκε τον σκύλο της πυροβολημένο στο κεφάλι στο Δρέπανο Αργολίδας

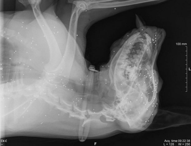
Ευθανασία αναγκάστηκε να κάνει η Barbara Exner στον θηλυκό σκύλο της καθώς το ζώο, που προπορεύτηκε κατά τη διάρκεια της βόλτας - αφού η κηδεμόνας του το είχε χωρίς λουρί - τελικά εντοπίστηκε πυροβολημένο στο κεφάλι με καραμπίνα στο Δρέπανο Αργολίδας κοντά στο νεκροταφείο της περιοχής στις 3 Οκτωβρίου.

Το ζώο μεταφέρθηκε από την ιδιοκτήτρια του και τον σύζυγο της Hans J.F. Krause στο κτηνιατρείο της Ελένης Σταματίου και εκεί διαπιστώθηκε ότι το σκυλί είχε χάσει οριστικά την όραση του και δεν μπορούσε να κουνήσει τα άκρα, έτσι του έγινε ευθανασία, ώστε να μην υποφέρει περαιτέρω. Σύμφωνα με την καταγγέλουσα το Α.Τ. Ναυπλίου στο οποίο πήγε για να κάνει καταγγελία δεν έδειξε ιδιαίτερο ενδιαφέρον για την υπόθεση...

Διαβάστε επίσης:

Άργος: Πέταξε τον σκύλο του από το μπαλκόνι αφού τον πλάκωσε στο ξύλο

Αργολίδα: Έσωσε τον άρρωστο σκύλο που περιφερόταν σκελετωμένος στο αρχαίο θέατρο της Επιδαύρου (βίντεο)

Κάμερα ασφαλείας κατέγραψε άνδρα που εγκατέλειψε 6 κουτάβια σε καφάσι έξω από σπίτι φιλόζωου στην Αγία Τριάδα Αργολίδας (βίντεο)

Χρειάζεται σπιτικό το κουτάβι που πυροβολήθηκε εξ επαφής στο Παναρίτι Αργολίδας και έχασε το ένα πόδι του (βίντεο)

Επίδαυρος: Βρήκε το κουτάβι χτυπημένο στο κεφάλι με βγαλμένο το μάτι

Πογκρόμ με φόλες εναντίον των αδέσποτων ζώων και στο Ανύφι Αργολίδας

Παναρίτι Αργολίδας: Βρήκε κουτάβι αιμόφυρτο με διαλυμένο πόδι από πυροβολισμό εξ επαφής

Αργολίδα: Παράτησαν κουτάβια στην Ερμιονίδα χωρίς φαγητό και νερό

Πυροσβέστες έσωσαν την αλεπού που βρέθηκε σε δεξαμενή σε βάθος 12 μέτρων στην Ερμιονίδα Αργολίδας

Έβγαλαν λουρί & ορειβατικό κλιπ μέσα από τον λαιμό σκύλου που περιφερόταν στην Ερμιόνη

Δάρδιζα Ερμιονίδας: Πυροβόλησε δύο σκυλιά σκότωσε το ένα

Ανύφι Αργολίδας: Απείλησε να δηλητηριάσει το υγιές αδέσποτο σκυλί επειδή νόμιζε ότι έχει λύσσα!

Αργολίδα: Έσωσαν το σκυλί που βρέθηκε σε πηγάδι βάθους 10 μέτρων στο Αργολικό Ναυπλίου

Λυρκεία Αργολίδας: Βρήκε 7 κουτάβια ζωντανά κλεισμένα σε τσουβάλι να θηλάζουν τη νεκρή μάνα τους

Βρήκε 10 κουτάβια παρατημένα σε τελάρο στο Τολό Αργολίδας

Ναύπλιο: Καταδικάστηκε με αναστολή ο άνδρας που εγκατέλειψε σκύλο & 4 κουταβάκια στην Καραθώνα Αργολίδας

Έκκληση για τη σωτηρία του σκελετωμένου σκύλου που βρέθηκε ετοιμόγεννος δεμένος σε δέντρο χωρίς τροφή-νερό στον Πλανατίνη Αργολίδας

Τύρινθα Αργολίδας: Βρήκαν τον σκύλο μέσα σε στέρνα γεμάτη νερό με το σχοινί γύρω απ’ τον λαιμό του

Τα σκυλιά κινδυνεύουν στα χέρια των κατοίκων του της Νέας Τίρυνθας (Κοφίνι) Αργολίδας

Άλλο ένα βαρελόσκυλο στο Κοφίνι Αργολίδας (βίντεο)

Κοφίνι Αργολίδας: Ζητείται φιλοξενία 30 ημερών για να ολοκληρώσει ο σκύλος τη θεραπεία του

Ένας μόνο νοιάστηκε για το αποστεωμένο και ακρωτηριασμένο σκυλί που αργοπέθαινε στην Άρια Ναυπλίου…

Ναύπλιο: Τρεις άνθρωποι του πρότειναν να σκοτώσει τα κουτάβια που μάζευε από τον δρόμο για να τα σώσει

Βρήκαν την φώκια πυροβολημένη στο κεφάλι στο Βιβάρι Ναυπλίου (βίντεο)

Ναύπλιο: Έδεσε τον σκύλο στο βουνό για να πεθάνει από ασιτία!

Βρήκαν τον σκύλο με πέτρα στο λαιμό πνιγμένο στο λιμάνι του Ναυπλίου

Ναύπλιο: Άλλη μια θαλάσσια χελώνα νεκρή

Ναύπλιο: Έπνιξε 3 κουτάβια πετώντας τα στη θάλασσα

Βρήκε 10 κουτάβια παρατημένα σε τελάρο στο Τολό Αργολίδας

Απαγχόνισε την γάτα κρεμώντας την σε δέντρο στον οικισμό του Πόρτο Ύδρα Αργολίδας

Βρήκε τον σκύλο απαγχονισμένο να κρέμεται σε δέντρο στο Πόρτο Χέλι στην «ελληνική Ριβιέρα» της Αργολίδας

Κρανίδι: Πυροβόλησε το γατάκι 3 φορές με αεροβόλο και το άφησε παράλυτο

Βρήκε τον σκύλο άρρωστο και σκελετωμένο σε ορεινή περιοχή στο Κιβέρι Άργους

Διαμαρτύρονται οι Γάλλοι τουρίστες για τις φόλες σε Ναύπλιο και Ηλεία

Άργος: Πέταξε τον σκύλο του από το μπαλκόνι αφού τον πλάκωσε στο ξύλο

Άργος: Βρήκαν τον ανάπηρο σκύλο πεταμένο σε κάδο με το κεφάλι του κλεισμένο σε τσουβάλι

Κιβέρι Αργολίδας: Βρήκαν το γατάκι κλεισμένο στο τσουβάλι με σπασμένο το πόδι

Άργος: Της σκότωσε τον σκύλο σουβλίζοντας τον μ’ ένα σίδερο

Άργος: Πέταξαν μέσα στα λάδια του αυτοκινήτου τα νεογέννητα κουτάβια

Δύο σκυλιά νεκρά σε πηγάδι στη Νέα Κίο Αργολίδας

Πυροβόλησε επανειλημμένα κουταβάκι στο Άργος

Βρήκαν τον σκύλο με κομμένα αυτιά στην Πυργέλα Άργους

Τροιζήνα Αργολίδας: Βρήκε τον σκύλο σοβαρά τραυματισμένο καθώς κάποιος τον έσυρε στην άσφαλτο

Tagged: , , , ,

Βοηθήστε μας να συνεχίσουμε να σας ενημερώνουμε για όσα συμβαίνουν στα ζώα στην Ελλάδα ενισχύοντας το www.zoosos.gr

0 Σχόλια

Αφήστε μια απάντηση

Η ηλ. διεύθυνση σας δεν δημοσιεύεται. Τα υποχρεωτικά πεδία σημειώνονται με *

This site uses Akismet to reduce spam. Learn how your comment data is processed.

Μοιραστείτε

και βοηθήστε κι εσείς!

error: Απαγορεύεται η αντιγραφή περιεχομένου.