Έκκληση για τη σωτηρία του σκύλου που πυροβολήθηκε στo Δοξάτο Δράμας
Έκκληση για τη σωτηρία του θηλυκού σκύλου που κάποιος τον πυροβόλησε με αεροβόλο στο μάτι στο Δοξάτο Δράμας με αποτέλεσμα να τυφλωθεί από τον έναν…
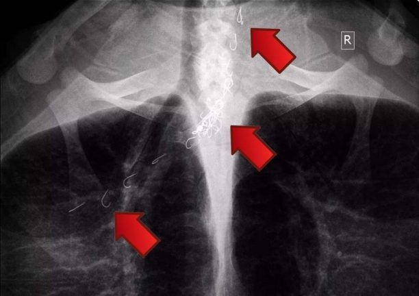
Στο Κέντρο Διάσωσης που λειτουργεί ο σύλλογος «ΑΡΧΕΛΩΝ» στη Γλυφάδα Αττικής βρίσκεται από τις 2 Οκτωβρίου η θαλάσσια χελώνα Caretta – caretta η οποία εντοπίστηκε στη περιοχή της Αγίας Άννας στο νησί της Νάξου να κολυμπάει έχοντας καταπιεί αγκίστρια.
Δύο μέλη του Συλλόγου Προστασία Άγριας Ζωής Νάξου που είδαν τις πετονιές να κρέμονται από το στόμα και να έχουν μπλεχτεί στο πτερύγιο της κατάφεραν με κόπο να τη βγάλουν στην στεριά και να τη στείλουν στη συνέχεια στον σύλλογο «ΑΡΧΕΛΩΝ» για περίθαλψη.
.jpg)
Η ακτινογραφία - που δημοσιεύουμε - έδειξε ότι τα αγκίστρια τα οποία κατάπιε η χελώνα βρίσκονται στον οισοφάγο αλλά έχουν προχωρήσει μέχρι τον πνεύμονα της εξήγησε στο www.zoosos.gr o Γιάννης Ορφανός εκ μέρους του Συλλόγου Προστασία Άγριας Ζωής Νάξου.
Πρόκειται για μια εξαιρετικά δύσκολη περίπτωση και οι επιστήμονες αναζητούν λύση για να τα αφαιρέσουν από το κορμί του θαλάσσιου ερπετού. Τα αγκίστρια και τα αλιευτικά εργαλεία κάθε είδους αποτελούν θανάσιμο κίνδυνο για τα ζώα της στεριάς και τη θάλασσας.
Διαβάστε επίσης:
Ένα χρόνο μετά την διάσωση της επέστρεψε στην Νάξο η καρέττα που είχε καταπιεί αγκίστρια
Νάξος: Βρήκαν την caretta να κολυμπάει έχοντας καταπιεί αγκίστρια
Βοηθήστε μας να συνεχίσουμε να σας ενημερώνουμε για όσα συμβαίνουν στα ζώα στην Ελλάδα ενισχύοντας το www.zoosos.gr
http://www.lesvosnews.net/articles/news-categories/astynomiko-reportaz/mytilini-tis-skotose-skylo-me-fortigo-toy
ΔΗΜΟΣΙΕΥΣΤΕ ΣΤΗΝ ΑΡΧΙΚΗ ΣΕΛΙΔΑ ΣΑΣ ΤΟ ΣΥΜΒΑΝ