Στηρίξτε μας

Πυροβόλησε την γάτα 5 φορές με αεροβόλο στο Γαλάτσι

17 Μαρτίου 2016 12:32 | Καταγγελίες
Πυροβόλησε την γάτα 5 φορές με αεροβόλο στο Γαλάτσι

Το εγκληματικό του έργο συνεχίζει ο παράφρονας που συστηματικά πυροβολεί γάτες στο Γαλάτσι καθώς σήμερα το νεοσύστατο φιλοζωικό σωματείο της περιοχής «Γαλατσιώτικες Αδέσποτες Φάτσες!» ενημερώθηκε ότι στις 10 Νοεμβρίου 2015 μια ακόμα γάτα εντοπίστηκε να κείτεται στην οδό Νάξου και οι ακτινογραφίες έδειξαν τα πέντε σφαιρίδια του αεροβόλου στο κορμί της.

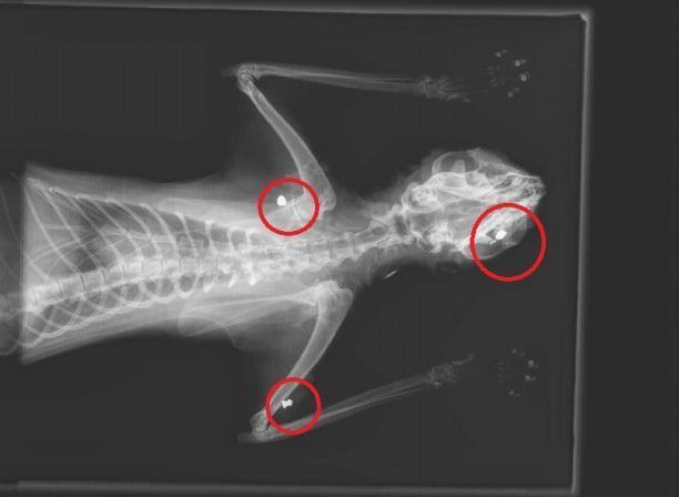
GalatsiGataPyrovolimeniAerovolo11-2015 (2)Βρέθηκε στην οδό Νάξου στις 10 Νοεμβρίου 2015.

Ο Δήμος Γαλατσίου έδωσε σήμερα αυτά τα στοιχεία στους εκπροσώπους του σωματείου για να τα καταθέσουν στην αρμόδια Εισαγγελία. Το ζώο που ευτυχώς τα κατάφερε και αφέθηκε ξανά ελεύθερο στην περιοχή από τους αρμόδιους της δημοτικής αρχής.

Μέσα σ’ έναν χρόνο – όπως εξήγησε στο www.zoosos.gr o Μάνθος Αρμπελιάς που είναι αντιπρόεδρος του συλλόγου – έχουν καταγραφεί έξι περιστατικά με θύματα γάτες και όλα τα ζώα έχουν πυροβοληθεί στην ίδια περιοχή πέριξ ή στις οδούς Νάξου και Κέρκυρας και μάλιστα κοντά στα σχολεία του Γαλατσίου και την παιδική χαρά.

Όποιος αντιληφθεί τον δράστη παρακαλείται να επικοινωνήσει με το Α.Τ. Γαλατσίου την υπεύθυνη της Κοινωνικής Υπηρεσίας του Δήμου Γαλατσίου Μαύρα Χατζηδημητρίου στο τηλέφωνο: 2102222011.

Οι άλλες 5 γάτες – θύματα του ψυχοπαθή που πυροβολεί ανυπεράσπιστα ζώα

1) Λόττο: Βρέθηκε πυροβολημένος στην σπονδυλική στήλη στην οδό Ανδριτσαίνης στο Γαλάτσι στα τέλη Ιανουαρίου του 2015. Το γατί πυροβολήθηκε δίπλα σε παιδική χαρά και στο 6ο Γυμνάσιο. Παραμένει παράλυτο.

GalatsiPyrovolimenoLottoIanouarios2015 (2)Ο Λόττο έμεινε για πάντα παράλυτος.

GalatsiPyrovolimenoLottoIanouarios2015 (1)Η ακτινογραφία του Λόττο δείχνει το σφαιρίδιο στην σπονδυλική στήλη.

2) Γουόκερ: Βρέθηκε πυροβολημένος στην σπονδυλική στήλη στην οδό Ανδριτσαίνης στο Γαλάτσι τον Ιανουάριο του 2015 με δύο μέρες διαφορά από τον Λόττο. Το γατί πυροβολήθηκε δίπλα σε παιδική χαρά και στο 6ο Γυμνάσιο. Παραμένει παράλυτο.

GalatsiPyrovolimenosParalytosGouoker2015 (2)O Γουόκερ έμεινε για πάντα παράλυτος.

GalatsiPyrovolimenosParalytosGouoker2015 (1) Το σφαιρίδιο στην σπονδυλική στήλη του Γουόκερ.

3) Περιστατικό τρίτο: Στην διασταύρωση των οδών Νάξου και Κερκύρας, βρέθηκε τέλος Δεκεμβρίου 2015 γάτα πυροβολημένη 10 φορές με αεροβόλο. Οι άνθρωποι που την φρόντιζαν την μετέφεραν σε γιατρό, της παρασχέθηκε η απαραίτητη θεραπεία, αλλά κανένα σφαιρίδιο δεν μπορεί να αφαιρεθεί. Ευτυχώς ανέκαμψε και δεν φαίνεται να έχει προβλήματα προς το παρόν.

4) Βίκτωρας: Βρέθηκε στις 9 Ιανουαρίου 2016 στην οδό Νάξου και Κερκύρας στο Γαλάτσι με σπασμένο σαγόνι. Ωστόσο στην ακτινογραφία που του έγινε διαπιστώθηκε ότι πριν, είχε πυροβοληθεί στην αριστερή ωμοπλάτη. Το γατί ακόμα νοσηλεύεται και έχει κάνει χειρουργείο για το σπασμένο σαγόνι του. Το σφαιρίδιο ούτε σε αυτή την περίπτωση μπορεί να αφαιρεθεί.

GalatsiPyrovolimenosVictoras2016-3-3Το ζώο νοσηλεύεται καθώς εκτός από πυροβολημένο βρέθηκε και με σπασμένη γνάθο.

GalatsiPyrovolimenosVictoras2016 (3)Το σφαιρίδιο στο κορμί του Βίκτωρα έδειξε η ακτινογραφία.

5) Περιστατικό πέμπτο: 18 Ιανουαρίου 2016 βρέθηκε στην οδό Μεγάλου Αλεξάνδρου στο Γαλάτσι ένα στενό πίσω από την οδό Νάξου εκεί που βρέθηκε το τρίτο και το τέταρτο περιστατικό. Το γατί ήταν πυροβολημένο στην σπονδυλική στήλη και έμεινε παράλυτο. Πέθανε δύο μέρες αργότερα καθώς είχε σπασμένα πλευρά και υγρά στην κοιλιακή χώρα.

GataPyrovolimeniGalatsi18-1-2016-4Πυροβολημένο με αεροβόλο πεθανε στις 20/1.

GataPyrovolimeniGalatsi18-1-2016 (2)Βρέθηκε πυροβολημένο 18 Ιανουαρίου 2016.

GataPyrovolimeniGalatsi18-1-2016 (1)Το ζώο κατέληξε στις 20/1.

Διαβάστε επίσης:

Γαλάτσι: Αναζητούν πληροφορίες για τον δράστη που πυροβολεί, σκοτώνει, αφήνει παράλυτες γάτες

Μανιακός πυροβολεί συστηματικά και αφήνει παράλυτες αδέσποτες γάτες στο Γαλάτσι

Γαλάτσι: Πυροβολημένο με αεροβόλο το γατάκι που εντοπίστηκε παράλυτο

Γαλάτσι: Έθαψαν ζωντανό το ένα από τρία κουτάβια που εγκατέλειψαν

Tagged: , , , , , , , , ,

Βοηθήστε μας να συνεχίσουμε να σας ενημερώνουμε για όσα συμβαίνουν στα ζώα στην Ελλάδα ενισχύοντας το www.zoosos.gr

2 Σχόλια

  1. Renenikol

    Γιατί δεν στήνετε περιπολίες τα μέλη της ομάδας, κάθε μέρα να τον πιάσετε τον ψυχάκια? πόσα ακόμη αθώα πλάσματα πρέπει να σακατέψει ή να σκοτώσει, για να τον πιάσετε? Ο δολοφόνος γυρίζει στον τόπο του εγκληματος, πάντα. Να είστε εκεί για να τον πιάσετε τον μπάσταρδο. Δεν μπορεί να κυκλοφορεί ανενόχλητος! Συντονιστείτε!

Αφήστε μια απάντηση

Η ηλ. διεύθυνση σας δεν δημοσιεύεται. Τα υποχρεωτικά πεδία σημειώνονται με *

This site uses Akismet to reduce spam. Learn how your comment data is processed.

Μοιραστείτε

και βοηθήστε κι εσείς!

error: Απαγορεύεται η αντιγραφή περιεχομένου.