Μαρούσι Αττικής: Γάτα με καρκίνο πυροβολήθηκε δύο φορές με αεροβόλο – Έκκληση για τα έξοδα
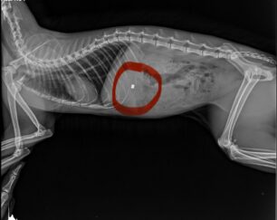
Της Ελένης Ηλιοπούλου Έκκληση για τα έξοδα της γάτας που ζούσε στην πλατεία της Αγίας Λαύρας σε ένα από τα πιο κεντρικά σημεία της πόλης στο Μαρούσι Αττικής απευθύνει η Φοίβη Δημουλά η οποία εντόπισε…διαβάστε περισσότερα 




